Soltero-Rivera M, Goldschmidt S, Arzi B. Feline chronic gingivostomatitis current concepts in clinical management. Journal of Feline Medicine and Surgery. 2023;25(8). doi:10.1177/1098612X231186834
摘要
实际相关性:
猫慢性牙龈口腔炎(FCGS)是一种令猫受苦的疾病,对兽医和猫主人来说都是一个挑战。最近的文献表明,该疾病的性质是免疫介导的,并且很可能与患者龈下微生物群的α多样性较高的慢性病毒感染有关。FCGS的免疫介导性质包括局部和全身效应,受影响患者的转录组分析支持这些发现。
治疗选择:
局部治疗以手术摘除全部或几乎全部牙齿的形式仍然是主要的治疗方法。对于无法通过手术管理的猫,以免疫抑制或免疫调节疗法的药物管理形式,仍然是一个选择。镇痛是至关重要的。利用间充质基质细胞治疗进行免疫调节提供了难治性患者的另一种治疗途径,并可能针对该疾病中存在的慢性病毒感染。随着对该疾病涉及的分子途径的进一步描述,治疗分层和使用新型全身治疗选择的潜力可能会显现出来。
目标:
本综述概述了与FCGS相关的现有科学和疾病临床管理的当前和新兴概念。
证据基础:
本文基于目前最佳的证据基础,并且也受到作者们在这一疾病上十多年工作经验的驱动。
介绍
猫口腔炎性溃疡性炎症是一种慢性口腔黏膜疾病,影响着多达26%的家猫。受影响的猫通常在口腔内出现广泛的炎症病变,包括腭舌襞的侧面区域。该疾病似乎有两种临床表型——溃疡性和增生性,但有些患者会同时表现出两种,如图1所示。病变通常伴随中度至重度的口腔疼痛,食欲减退或消失,梳理不善和社交减少。患有猫慢性口腔炎性溃疡性炎症(FCGS)的猫可能因治疗反应不足或缺乏治疗资源而被安乐死。
图1 猫慢性牙龈口腔炎(FCGS)的临床表现可能略有不同,但其特点是炎症不仅影响牙龈,还延伸至牙槽和颊粘膜。(a,b) 一位患有难治性溃疡性FCGS的患者,也影响了舌下组织。© 一例同时显示溃疡和增生的病例。请注意右侧影响颊粘膜和舌下粘膜的增生。(d) 一例FCGS患者出现了溃疡区域的自发性出血。(e) 牙龈和牙槽粘膜的同时炎症是FCGS患者的典型表现,在这种情况下,炎症围绕左侧上颌第四前臼齿。(f) 这只患有FCGS的猫的颊粘膜左侧有轻度炎症,而右侧有中度炎症。
当前的文献支持FCGS是免疫介导的,正如本综述中所概述的那样,其中包括对FCGS和健康口腔粘膜的局部宿主反应进行比较(见框“健康口腔粘膜”)。此外,越来越不容置疑的是,免疫反应与猫钙病毒(FCV)感染有某种关联。针对口腔粘膜的研究评估了定性组织形态结构,以及对健康和FCGS中的免疫细胞类型和宿主反应进行表征和定量。此外,近年来,无目标的多组学方法已经开始描述FCGS的微生物景观,以及与该疾病相关的遗传和代谢途径。
Box ‘健康的口腔黏膜’
为了在上下文中理解FCGS的当前科学和临床知识,明智的做法是了解健康口腔粘膜和口腔健康中的免疫机制。
口腔粘膜提供了对环境侵害(包括致病微生物、化学品、咀嚼期间的物理损伤和空气中的过敏原)的第一道机械防护。此外,这个解剖区域还提供细胞介导的保护功能,以对抗有害生物,同时与其不同生态位中的共生微生物保持稳态。维护这种平衡对于维护口腔和全身健康都是必需的。
口腔粘膜由表面上皮和深层支持的松散结缔组织(称为基底膜)组成。在大多数区域下面,支持粘膜的更深层的结缔组织称为黏膜下层,其中可能包含腺体、肌肉、血管和神经。黏膜免疫系统由存在于上皮层、基底膜和淋巴组织中的细胞之间的相互作用组成。完整的上皮是口腔中防御的第一道。抗原呈递细胞从上皮捕获抗原,然后迁移到淋巴滤泡,在那里通过抗原呈递激活T细胞。抗原识别后,这些活化的T细胞分化为效应细胞。黏膜中的T淋巴细胞在黏膜免疫和耐受中起着至关重要的作用。CD4+ T细胞被认为是“辅助”细胞,因为它们不能清除感染,而是促使身体对感染作出反应(图2)
主要组织相容性复合体(MHC)细胞表面受体允许生物识别自我和非自我抗原。所有有核细胞中都存在MHC I糖蛋白,这些糖蛋白将抗原呈递给具有CD8+受体的细胞毒性T细胞。而只有在专门的抗原呈递细胞中才存在MHC II糖蛋白,这些糖蛋白将抗原呈递给具有CD4+受体的辅助T细胞。这些在胸腺中发育的CD4+ T细胞,会在遭遇淋巴组织中的抗原刺激后迁移到受损区域。T辅助细胞将根据其微环境中存在的细胞因子分化为不同的亚群,并最终产生炎症或调节效应。CD8+细胞是细胞毒性T细胞,会杀死被病毒或细胞内细菌感染,或者已转化为恶性的细胞。这些细胞中的一小部分会成为记忆细胞。一些记忆T细胞可以进入淋巴结或脾(中央记忆)。相反,其他一些(效应记忆)能够附着到内皮并迁移到其他器官的炎症部位,如FCGS影响的猫的口腔黏膜。。
一项分析来自年轻猫的正常健康口腔黏膜中各种白细胞亚群的研究表明,这些细胞在不同区域的分布存在区别。最广泛代表的细胞具有树突状细胞形态和CD18+,MHC II+,CD1a+和CD1c+表型。在牙龈上皮中识别出的主要细胞类型是CD4+细胞。除扁桃体和下颌淋巴结外,B淋巴细胞在任何检查过的组织中都没有出现。在腭舌皱襞和牙龈中发现了淋巴滤泡。所有检查过的组织中都识别出了肥大细胞,密度在不同部位之间有所不同。
图2 先天免疫是由抗原呈递细胞(APCs)在受损部位迅速而非特异性地启动的应答。适应性免疫在损伤发生后需要数天至数周的时间,具有高度特异性并能长期维持。适应性免疫也可以具有耐受性。为了激活淋巴细胞,APCs会前往包括扁桃体、唾液腺、淋巴滤泡和引流淋巴在内的诱导部位。效应部位包括上皮、固有层和唾液腺。活化和扩增的淋巴细胞会从效应部位迁移到诱导区域,以介导免疫应答。T细胞被认为在抗原再调用的快速应答中发挥帮助作用,提供保护性应答同时防止不良过敏反应。CD4+细胞的主要功能是直接或间接地调节其他免疫细胞。在健康状态下,淋巴细胞主要是记忆细胞群体。
在编写这篇综述时,作者的目标是提供一个有凝聚力的概述,以支持这种疾病的免疫介导性。这与病因学和临床管理有关。作者还强调了当前证据基础中的局限性,这些局限性为进一步研究提供了建议。此外,他们阐明了外科和临床管理的各个方面,并提出了一个“个体化医学”方法的观点(即,根据不同类型的生物标志物为非响应牙齿拔除治疗的猫提供个性化的治疗)。
FCGS中的本地宿主反应
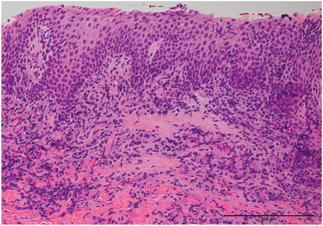
FCGS-受影响猫的黏膜上皮的典型外观是增生性的,有突出的乳头延伸至深层粘膜下(图3)。亚粘膜毛细血管通常充血,并有饱满的内皮细胞覆盖。黏膜也可能出现溃疡;在这些情况下,中性粒细胞主要分散或聚集在上皮退变区域下的基底膜/粘膜下层。已经在患有FCGS的猫的牙龈活检中记录到增多的肥大细胞。尽管它们在这种疾病中的作用尚未完全确定,但肥大细胞释放一系列促炎和免疫调节介质,即使数量很少,这些细胞也可能参与FCGS中局部炎症和免疫反应的启动、传播和持续。
图3 FCGS患者颊粘膜的组织学切片。注意到增生的上皮和突出的乳头状结构(类似手指的结构),深入到粘膜下层。20倍放大;标尺 = 20微米
非炎症性猫口腔粘膜是一个活跃的免疫学场所,其细胞群体主要偏向于1型细胞因子表达谱。相反,患有FCGS的患者的粘膜显示出混合的1型和2型表达谱,表明发展了坚实的细胞和体液免疫反应。受FCGS影响的猫的粘膜以淋巴细胞和浆细胞的大量浸润为特征,偶尔还有大量的Mott细胞。T细胞存在于浅表粘膜和粘膜下层(CD3),而B细胞和Mott细胞似乎仅限于粘膜下层(CD20)。大多数浆细胞属于IgG亚型,较少数的IgA+和IgM+浆细胞被描述到。
在受影响的粘膜中,CD4+和CD8+ T细胞的免疫标记显示,在无牙患者的基底膜层中,这些细胞的比例大致相等,尽管仍有残留牙齿的猫显示出CD8+细胞的优势。这些炎症细胞通常以带状模式分布,使上皮和粘膜下层之间的边界变得模糊。与健康口腔粘膜相比,FCGS患者的基底膜层/粘膜内标记为CD3+、CD4+、CD8+、CD79a+、IgG+、IgM+、IgA+或L1+(中性粒细胞)的细胞数量显著增加,肥大细胞的数量也是如此。此外,炎症严重程度与浆细胞(CD79a+细胞)、中性粒细胞(L1+细胞)、辅助T细胞(CD3+)和MHC II糖蛋白水平的数量之间存在相关性。在受FCGS影响的牙龈组织中,肥大细胞密度显著增加,尽管与患有牙周病和猫牙齿吸收病变的猫的观察结果相比没有显著差异(图4)。
图4 健康猫的颊粘膜和腭舌垂襞的组织切片(a,bi-iv),以及患有猫口腔溃疡病的患者的牙龈和受影响的颊粘膜的组织切片(c-f)。LP = 上皮下层;SE = 上皮下。
(a) 颊粘膜(CD1c+的免疫组织化学染色;放大600倍;标尺=40微米)。注意到上皮内树突状细胞展示出典型的成熟树突状细胞形态(箭头)。
(b) 腭舌襞(400×放大倍率;刻度尺 = 40 μm):(i)注意亚上皮白细胞聚集(箭头)(苏木精和伊红染色);(ii)亚上皮CD4+ T细胞集合(CD4+免疫组化染色);(iii)亚上皮CD1c+树突状细胞聚集(CD1c+免疫组化染色);(iv)亚上皮MHC II+细胞集合和弥漫分布(MHC II+免疫组化染色)。由Arzi等人授权,从Wiley and Sons转载。
(c ) 受FCGS影响的牙龈(甲苯胺蓝染色,400×放大倍数)。注意粘膜下肥大细胞(小黑箭头),淋巴细胞(黑箭头),中性粒细胞(大黑箭头),类浆细胞(白箭头)和类巨噬细胞(白箭头)。由Arzi等人授权Elsevier转载。
(d) 大量浆细胞,偶见莫特细胞(即,其细胞质中包含球形包涵体或拉塞尔体的浆细胞),淋巴细胞和中性粒细胞相对较少(H&E染色;100×放大)。
(e) 请注意T淋巴细胞在上皮组织中的聚集(CD3+的免疫组化染色;100倍放大)。
(f) B淋巴细胞在粘膜下区域高度存在(CD20+的免疫组化染色;100×放大倍率)
细胞因子表达与受FCGS影响的猫的疾病严重程度相关。这与人类牙周病观察到的情况相似,这并不奇怪,考虑到大多数受FCGS影响的猫同时患有牙周炎。尽管尚未完全了解FCGS患者牙龈水平的免疫宿主反应,但牙科X射线显示,FCGS与广泛且严重的牙周炎有关,外源性炎性根吸收和残留根的高发生率,表明存在高度炎症性的破坏性过程(图5)。这种反应也可能反映了口腔黏膜慢性炎症引起的细胞因子积聚,这些细胞因子在不同病因引起的慢性炎症中似乎几乎没有变化。
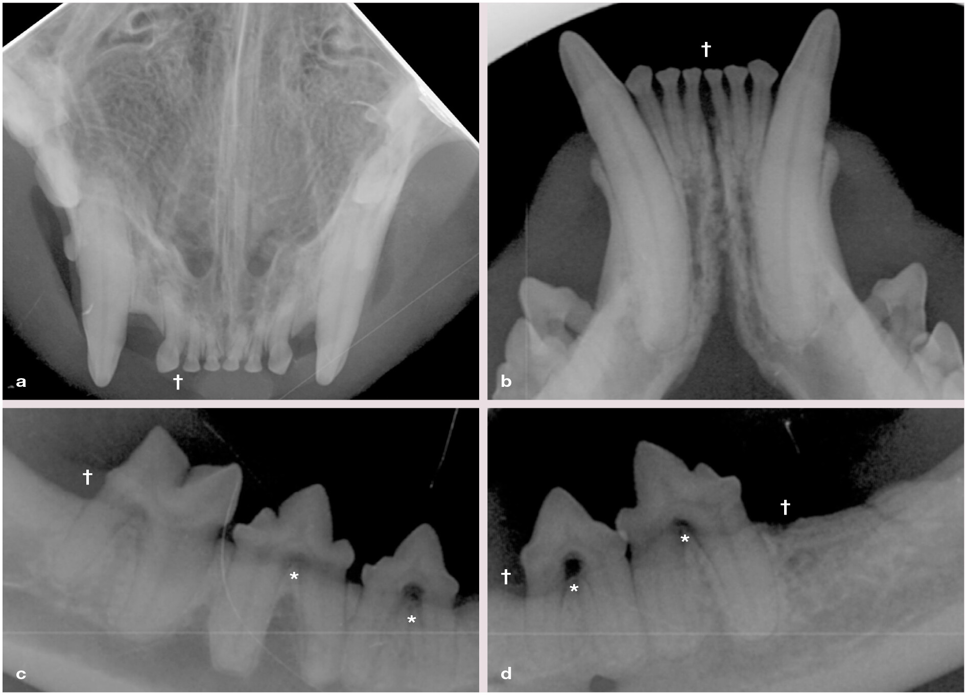
图5:一只5岁的家猫,临床和组织病理学上证实患有猫口腔慢性炎症(FCGS)的短毛猫。
(a) 上颌切牙的咬合面视图。 (b) 下颌切牙的咬合面视图。© 右下颌PM3至M1。 (d)左下颌PM3和PM4。放射照片显示受影响牙齿的根分叉处有轻度至中度的半普遍性水平牙槽骨丧失(†)和I型牙齿吸收(*),以及左下颌第一磨牙缺失和下颌尖牙的颊侧骨扩张。
局部反应 – 简述
FCGS表现为淋巴浆细胞性黏膜炎症,其中CD8+ T细胞占主导,B细胞也相当丰富,另外牙龈中还有大量的肥大细胞。此外,已经观察到某些局部分子参与者(包括细胞因子和免疫细胞受体)与FCGS患者的临床疾病严重性存在正相关。这些生物标志物在未来可能在个性化医疗在这种疾病管理中变得更加突出时具有价值。
全身症状
随着我们对该疾病的理解加深,我们发现FCGS不仅仅是一种局部疾病,而且具有全身性的影响。受影响的猫体内循环的CD8+效应记忆细胞水平较高,同时中央记忆细胞减少,并且存在循环活化的CD8+T细胞(CD25+,CD62L-)的证据。记忆CD8+T细胞是对细胞内病原体(如病毒)免疫的主要组成部分。这意味着存在一种未解决的炎症,其中CD8+T细胞被激活多次并保持激活状态。在FCGS病变中CD8+T细胞处于主导地位和循环效应记忆细胞的增加证实,一种细胞内生物体(很可能是与病毒感染有关)引起了炎症。
大多数受影响的猫也表现出血清和唾液免疫球蛋白水平升高。唾液免疫球蛋白可能由粘膜浆细胞产生,并通过牙龈沟液或粘膜渗漏进入口腔。这些病例中观察到的多克隆免疫球蛋白血症可能是FCGS中IL-6上调的次生反应。此外,据推测,患有FCGS的猫更有可能出现全身性炎症反应。FCGS患猫体内的全身性炎症证据还包括血清促炎细胞因子(如干扰素-γ(IFN-γ)、肿瘤坏死因子-α(TNF-α)、白细胞介素-1β(IL-1β)和IL-6)的表达增加,以及血液中中性粒细胞计数(图6)。
图6 评估了FCGS患者的全身免疫反应,发现60%的患者出现高球蛋白血症,循环中IFN-γ、TNF-α和IL-lβ水平升高,30-40%的患者出现中性粒细胞增多,以及CD8+效应记忆细胞。这些发现与评估局部免疫反应的研究结果相一致。
尽管最初被认为是一种仅影响口腔的局部疾病,在一项对患有猫慢性胃肠炎综合征(FCGS)的猫进行的控制性研究中,通过食管镜检查发现98%的患猫存在食管炎,而对照组猫则没有发现食管炎(0%)。受影响的患者在外观正常的组织中显示出炎症和上皮化生的显微病理学证据,并且没有与胃肠道疾病一致的临床症状。对于治疗后不再表现出该疾病临.床症状的FCGS患猫进行内窥镜复查,也显示出食管炎的宏观愈合。研究人员提出,这些病例中的食管炎是由于食管中的共同菌群失调促进了某些促炎细胞因子的产生。
全身反应 - 简述
全身反应与局部反应相对应,而局部反应可能比先前认为的更为广泛。这应该在整体患者管理的背景下予以考虑
目前对于FCGS的病因学了解
在FCGS中,已经有几种疾病和传染性因子被认为是免疫反应的诱因,但没有证据证明它们之间的因果关系。临床上发现FCGS的严重程度与FCV(Toll样受体[TLR] 7)和Forsythia Tannerella(TLR2)的存在之间存在关联,引起了对它们作为可能的病因因子的兴趣。对FCGS患者进行无偏向的宏基因组和转录组分析发现,唯一与FCGS强相关的微生物是FCV,它在21/23个受FCGS影响的猫中被检测到,而在任何对照组猫中都没有被检测到。这项研究还表明,FCGS患猫同时感染FCV和美洲狮猫猫猫病毒(PFFV)可能会对治疗反应产生不利影响。这一发现得到了支持,因为与对照组相比,FCGS患者中的鸟苷酸结合蛋白-1(GBP-1)的表达水平约高出40倍,这是一个已知具有抗病毒效果的基因。
然而,通过对口咽拭子进行实时逆转录聚合酶链反应(RT-PCR)检测评估的FCV口腔负荷与FCGS患猫的口腔病变严重程度或治疗结果无关。此外,试图通过接种健康猫以重现FCGS并证明科赫氏法则的研究未能证明因果关系。尽管发生了急性口炎,但慢性携带状态并未出现。需要注意的是,其中一项研究涉及16周龄的特定病原体负荷猫。幼猫的口腔可能无法模拟发生疾病所需的临床情况,包括遗传基础、口腔微生物组和微环境。此外,三项研究记录了FCV病毒负荷减少或解决以及FCGS临床症状和明显病变的解决。总之,尽管存在不一致性,文献大体上支持FCV在至少调节疾病严重程度方面的作用。
历史上,猫白血病病毒(FeLV)和猫免疫缺陷病毒(FIV)与猫口腔综合症(FCGS)的关联一直没有定论。在一项研究中,提供了更有说服力的证据,比较了患有FCGS的猫,有无FIV和FeLV感染的临床结果,结果显示它们表现出不同的表型特征,并对全口牙齿拔除(FMEs)或部分口腔牙齿拔除(PMEs)以及辅助医疗支持产生影响。表型上,FeLV阳性猫的增殖性口炎和根吸收病变明显较少,但舌溃疡较多。该研究得出结论,FeLV阳性猫在牙齿拔除后没有改善的机会是不携带逆转录病毒疾病的猫的7.5倍。
亚龈微生物组在患有猫口腔综合症(FCGS)的猫中也得到了表征。这些患者中发现了更高的α多样性,以及与健康猫(P = 0.0052)和牙周炎猫(P = 0.0127)相比,更高的Peptostreptococcus物种相对丰度。目前尚不清楚这些发现的意义。
最后,一项研究评估了同居猫的数量是否代表了FCGS的风险因素,结果显示与单猫家庭相比,共同居住的猫有着显著增加的FCGS患病几率(增加了七倍)。家庭中每增加一只猫,FCGS的患病几率增加超过70%。
病因学 - 简述
FCGS 似乎是一种与慢性病毒感染,主要是 FC,有关的免疫介导疾病。进一步的研究应旨在细化对该疾病宿主反应的理解,包括为什么 FCGS 只在某些情况下表现出来。潜在地,这样的研究可能会导致发现可能的遗传基础,并更好地了解在该疾病中起作用的跨界互动。
FCGS的临床管理
FCGS的临床管理目标是减少或消除抗原刺激,并调节异常的免疫反应。鉴于几乎所有受影响的猫都会表现出中度至重度的牙周炎和牙齿吸收,手术管理以牙齿拔除为起点。牙周炎对口腔粘膜和免疫系统造成了相当大的炎症负担。因此,拔牙将有效减轻部分慢性炎症负担,使部分患者能够获得显著改善甚至治愈的效果。
然而,目前尚不清楚拔牙与减少或消除口腔粘膜上的猫冠状病毒(FCV)之间的关联。可以合理推测,拔牙可能会清除可能在该疾病中发挥作用的特征性牙下菌群,从而减轻炎症负担,使免疫系统能够专注于同时存在的慢性病毒感染。另一方面,通过减少炎症,环境可能对这些病毒的生存不利。
术前评估
FCGS受影响的猫在计划进行全口或部分牙齿拔除手术时,应评估与相对较长的麻醉过程相关的风险(包括完整的血细胞计数、血清生化面板等)。此外,应进行病毒疾病检测,以评估猫白血病病毒(FeLV)、猫免疫缺陷病毒(FIV)、猫冠状病毒(FCV)和猫口腔炎病毒(PFFV)的感染状况,因为这可能具有预后意义。建议在可能接触到FeLV和FIV后的30天和60天进行重复检测,以确认阴性状态。推荐使用从结膜或口咽部获取的样本进行联合病毒分离和RT-PCR技术,以提高FCV的检测率。据作者所知,目前没有商业化的PFFV检测方法。
已经开发了一个标准化的活动指数,用于监测与猫患有猫口腔炎症相关的临床表现。最初由Jamie Anderson博士设计并在几项先前的研究中使用的口腔炎症疾病活动指数(SDAI)已经成为辅助诊断过程和病情监测的有价值工具。该指数考虑了患者家庭中受影响患者生活质量的客户评估以及兽医从业者对口腔的整体评估。然而,有时业主和临床评估患者疾病状况之间存在差异。因此,本综述的作者们创建了一个修改后的评分,考虑了客观标准(请参见附录1的补充材料)。
SDAI应该由兽医在患者首次就诊时完成,并在每次后续评估中使用以监测进展情况。业主评估部分的问题可以纳入兽医通常的病史调查中。兽医评估是在清醒的口腔检查过程中进行的,尽管在不合作的患者中可能需要轻度镇静,或者临床医生可以选择等待患者接受全身麻醉以评估口腔情况。一旦为该患者完成了所有的诊断工作,客观评估就完成了。尽管已经进行了组织病理学验证,SDAI尚未进行过内部和读者间可变性研究,因此,只要可能,应该由同一位兽医为单个患者填写此表格。此外,未来的研究应该旨在评估SDAI的不同子部分(即兽医评估、客观评估和业主评估)在获得对患者具有预后意义的评分方面的贡献。
这些患者的术前诊断方法总结如图7所示。通过麻醉下进行切口活检来确认诊断。组织病理学提供的信息可能具有预后价值或识别疾病亚型,例如犬和猫的浸润性胃肠疾病。作者目前正在研究嗜酸性粒细胞对FCGS患者预后的影响。
图7 示意图总结了术前、术中和术后期间对FCGS患者的诊断和治疗建议。如文中所讨论的,免疫抑制疗法是指使用糖皮质激素对免疫反应产生更广泛的影响(与免疫调节相比,后者是指通过不同类型的药物对免疫系统的特定部分进行更有针对性的治疗)。SDAI = 口腔炎症活动指数;CBC = 全血细胞计数;FeLV = 猫白血病病毒;FIV = 猫免疫缺陷病毒;FCV = 猫卡利西病毒;PFFV = 美洲狮猫病毒;PME = 部分牙齿拔除术;FME = 全口牙齿拔除术;IFN = 干扰素
手术管理
1997年首次报道了受FCGS影响的猫进行牙齿拔除的成功率。历史上,这种治疗是基于这样的假设而开始的:FCGS患者存在一种保护机制的功能障碍或由细菌性牙周病原菌或病毒引起的有害免疫反应,并且认为拔牙有助于减少这些患者所面临的慢性抗原刺激。虽然这在一定程度上可能是正确的,考虑到这些患者特有的龈下微生物群落,但也已经认识到拔牙是治疗中度至重度牙周炎的有效疗法,这种牙周炎在受影响的猫中高达93%,以及牙齿吸收和残留根,这在受影响的猫中可见到的比例高达66%。
1997年和2008年的早期研究报告显示,拔牙疗法的治疗反应率相似。其中,第一项研究表明,在治疗后11-24个月的随访中,80%的猫(24/30)明显改善或临床治愈。这两项研究中,大多数患者(累计96.8% )接受了PMEs治疗。随着放射学发现的重新评估和更多患者的参与,2015年发表的一项后续研究显示,拔牙疗法的治疗反应率为39%(37/95)的临床显著改善和28%(27/95)的完全消除口腔炎症。
根据这些研究结果,大约33%的猫(31/95)在这项后续研究中对拔牙治疗没有反应。该研究还评估了手术治疗病例中延长医疗管理的作用,并揭示了大多数(68.8%)取得显著改善或完全缓解的患者在术后2周后需要一段有限时间的药物管理,包括抗菌药物、抗炎药物或镇痛药物。与以往研究相比,该研究首次评估了牙齿拔除范围对治疗结果的影响,得出结论认为在整体治疗反应方面,接受PMEs和FMEs治疗的猫之间没有显著差异。这一发现支持了牙菌斑不如以前认为的那样是一个关键的病因因素的观点。此外,不应忽视的是,疾病表型可能存在变异,或者接受PMEs治疗的患者可能表现出完全不同的疾病,如侵袭性牙周炎或接触性口炎。 尽管早期干预可能会在这种炎症性疾病中产生更好的结果,但没有研究评估临床症状持续时间对手术治疗结果的影响。然而,在一项研究中,临床症状持续时间与治疗时的病变严重程度(临床评分)无相关性。
最近的一项研究评估了同时感染病毒对牙齿拔除治疗成功的影响,结果显示FeLV阳性猫在牙齿拔除后没有改善的可能性增加了7.5倍。与FCV和PFFV的共感染在难治性FCGS猫中的发生率也明显高于对治疗敏感的FCGS猫。
在这个关键时刻,PMEs(拔除所有前磨牙和磨牙)和FMEs一直以来都提供了最好的长期效果。根据现有的知识体系,作者对最佳实践提出了一些建议,如“牙齿拔除疗法的建议”框中所述。
Box “牙齿拔除治疗建议”
部分口腔拔牙(PMEs)
- 由于中度到重度牙周病(>50%附着丧失或3级根分叉暴露)和牙龈上方吸收,符合拔除标准的牙齿应当被拔除,以及任何残留的牙根。
- 仅在这些牙齿周围的牙龈和相关粘膜有少量或无炎症的情况下,才应保留门牙和犬齿(即,只拔除前磨牙和磨牙)。(如果包括吻部口腔在内的弥漫性炎症存在,PME是不适当的,推荐进行FME。)
- 应对剩余的牙齿进行洗牙,并在炎症仍然存在时,每1-3个月继续进行一次。
- 如果在进行PME 2-3个月后没有看到反应,无论吻部牙齿周围是否有炎症,剩余的牙齿都应被拔除。
全口拔牙(FMEs)
- 对于有弥漫性口腔炎症的病例,应进行FME。
医疗管理
FCGS的医疗管理可能会因为这种疾病引起的严重口腔疼痛而具有挑战性,但对于急性和慢性情况来说是必要的。在拔牙之前的医疗管理未能影响手术治疗的整体反应,并且很可能只是暂时缓解与猫口炎相关的不适感。简而言之,目前医疗管理在取代手术作为唯一治疗手段方面没有作用。然而,考虑到FCGS患者常常表现出严重疼痛和可能发生的并发感染,医疗管理是一个基本的考虑因素。此外,约三分之一接受拔牙治疗的猫对手术治疗没有反应,对于这些难治性病例,术后适当的医疗管理支持变得至关重要(见框“什么是“难治性”?”)。
Box “何为‘难治性’?”
一些专家认为,如果在手术后至少6个月内没有看到对牙齿拔除治疗的反应,那么病例就被认为是难治性的,因此需要长期的医学管理。然而,也许应该重新考虑这个时间框架,因为数据报告显示,FCGS猫在术后33至49天内完全治愈的中位时间。这表明可以考虑更早的干预(大约在50天左右),以解决持续的炎症和疼痛,使用镇痛和疗法来减少或调节炎症。迄今为止,针对难治性病例的医学管理的后续研究有限,但这些患者很可能需要终身治疗。
作者为不适应牙齿拔除治疗的猫提出了个体化医学(定制)方法。在无全身性疾病的情况下,难治性病例通过镇痛和免疫抑制或免疫调节治疗的组合进行管理。作者所在机构的最新研究支持使用生物标志物进行治疗分层。在FCGS患者中发现生物标志物是基于最近的研究结果,发现约三分之二的不适应拔除治疗的病例同时感染了FCV和PFFV,而且FeLV感染状态对这些猫的预后也有影响。这样的研究表明,FeLV、FIV、FCV和/或PFFV阳性的患者应该在手术治疗的同时接受药物治疗。
以下讨论重点关注镇痛、抗菌、免疫抑制和免疫调节疗法,图7总结了关键治疗建议。
镇痛
疼痛管理在FCGS管理的所有阶段都是必不可少的:在急性环境中,在术后环境中以及在对提取治疗无效的情况下。在一项评估布洛芬经颊粘膜给药后对猫口腔疾病的镇痛效果和吸收的研究中,患有口腔炎的猫表现出较低的生物利用度和较短的吸收半衰期。尽管如此,与健康猫和生理盐水对照相比,布洛芬产生了镇痛效果和低的个体间浓度变异性。其他可能有益的疼痛管理药物,但科学数据仍然不足以支持它们在FCGS中的使用,包括N-甲基-D-天门冬氨酸(NMDA)受体拮抗剂(金刚烷胺)、加巴喷丁、除布洛芬外的阿片类药物和非甾体抗炎药(NSAIDs)。
✜ Amantadine 阿曼他丁在人类中历史上被用作抗病毒药物;然而,最近研究表明,通过拮抗NMDA受体,它对猫的慢性疼痛管理也有帮助。在猫中可能观察到镇静作用。3-5毫克/千克口服每24小时一次的剂量显著改善了患有骨关节炎的猫的生活质量。
✜ Gabapentin 加巴喷丁是γ-氨基丁酸(GABA)的结构类似物,可能对电压门控钙通道具有抑制作用。它是治疗猫儿肌肉骨骼和神经病理性疼痛最常用的药物,尽管一些研究报告没有显著的镇痛效果。一项评估加巴喷丁与哌替啶联合应用于行子宫卵巢切除术的猫儿的镇痛效果的研究发现,术后疼痛评分和救助镇痛的发生率与美洛昔康和哌替啶联合应用相比并没有显著差异。这两种治疗方案均在手术前给予。因此,本综述的作者认为加巴喷丁是一种辅助治疗选择。该药物在口服给药后具有高生物利用度(94.77%),剂量为5-10 mg/kg。该剂量可每8-12小时重复使用,药代动力学研究表明较短的给药间隔比每12小时给药更有效。
✜ Steroids 类固醇可以被视为FCGS患者辅助疼痛控制的选择。糖皮质激素可以通过抗炎作用间接减轻疼痛。证据表明,这些效应在神经病理性疼痛管理中也可能有益,并且类固醇受体存在于中枢和外周神经系统中。然而,长期抗原刺激,如FCGS中疑似发生的情况,可能导致T细胞功能障碍,称为“耗竭”,可能抵消这些药物的效果(如“免疫抑制治疗”部分所讨论的)。
✜ NSAIDs 非甾体抗炎药通常在急性情况下被考虑使用,但对于长期使用,人们对其潜在肾脏副作用的担忧引起了谨慎。研究评估了长期使用美洛昔康(0.01-0.05 mg/kg PO q24h)和罗贝洛昔康(1-2 mg/kg PO q24h)治疗患有骨关节炎和伴发慢性但稳定的肾脏疾病的猫,结果显示这些药物对这些患者的肾脏没有不良影响。需要注意的是,这些猫的随访时间从28天到6个月以上不等,他们的肾脏疾病被归类为国际肾脏兴趣学会(IRIS)的1-2期。此外,这些患者并不一定有影响其进食和饮水能力的医疗状况,而这在一些患有猫口炎综合征(FCGS)的患者中有时会发生。
非甾体抗炎药(NSAIDs)已被评估为辅助治疗猫慢性口腔炎(FCGS)的一种治疗方式。一项随机、双盲临床试验研究了牛乳铁蛋白口腔喷雾(每只猫6毫克,每12小时一次)和吡罗昔康(每公斤体重0.3毫克,隔日一次)的联合应用,结果显示77%的猫的临床症状明显改善。单独口服吡罗昔康在前两周内减轻了临床症状,然而,牛乳铁蛋白口腔喷雾和吡罗昔康的联合应用产生了更好的效果,减轻了口腔损伤的严重程度,改善了临床症状、生活质量和体重增长,持续了12周的研究期间。值得一提的是,作者没有在这项研究中说明对照组的成功率,并且在第四周后将对照组转为治疗组。之前已经研究了单独口服乳铁蛋白对于抑制患有口腔炎和猫免疫缺陷病毒(FIV)的猫的细菌生长的影响,并且结果显示改善了临床症状,并伴随着中性粒细胞吞噬活性的增加。
抗菌剂
科学数据支持在FCGS中使用抗生素的证据有限。一项研究报告了不同抗生素的效果,其中38%的接受阿莫西林治疗的猫有改善,37%的接受甲硝唑治疗的猫有改善。考虑到这些效果只是暂时的,并且抗生素的治疗反应率低于免疫抑制疗法,因此只建议在急性情况下和/或出现继发感染时使用抗生素治疗。
已经进行了研究,以调查猫的龈下微生物组的抗菌敏感性。然而,参与该研究的患者仅患有牙龈炎,而患有FCGS的患者则表现出更严重的牙周炎形式的证据。虽然已经有研究描述了FCGS患者的龈下微生物组,但这些微生物的抗菌耐药性尚未评估。缺乏类似的人类疾病,其特征是口腔上皮受损,需要完全(或接近完全)拔牙。然而,Cochrane综述已经研究了使用抗生素预防健康人群拔牙后并发症的情况。综述中包括的研究总结发现,与安慰剂组相比,抗生素可能降低了拔除阻生第三磨牙的人群感染和干槽的风险,但证据的可靠性较低。此外,这些患者的不良反应风险没有明显增加的证据,但证据的可靠性非常低。 这可能在免疫功能受损或免疫抑制患者中有所不同,而这些患者并未纳入本研究。
作者的方法是在术后使用短程抗菌药物治疗FCGS病例(阿莫西林克拉维酸盐,13.75毫克/千克口服,每12小时一次;克林霉素,5-11毫克/千克口服,每12小时一次),因为手术具有侵袭性,牙龈黏膜组织状况较差。然而,作者正在积极研究是否存在超过24小时的抗生素治疗的益处。
免疫抑制治疗
糖皮质激素仍然是术前和术后口腔炎治疗中最常被开处方的药物。在术后患者中,糖皮质激素被立即用于手术后以及顽固病例中。这种方法与一些新型治疗方法(在“免疫调节”部分讨论)的使用方式相反,后者能增强患者的免疫反应,而不是进一步抑制免疫系统。
激素治疗已被证明能够使约23%的患者完全治愈或明显改善;其中只有7%的患者达到了临床缓解。考虑到这些事实,以及长期使用可能带来的潜在有害副作用,如糖尿病,作者建议将皮质类固醇保留给对疼痛管理方案无效的患者,用于症状治疗,采用逐渐减量的方式,或作为最后的选择。如果使用皮质类固醇,建议定期进行血液检查以评估潜在的副作用。
环孢素也是一种免疫抑制剂,用于FCGS的情况。环孢素通过减少IL-2的表达来降低T细胞增殖,从而间接导致B细胞功能(即响应性和抗体产生)减弱,同时直接降低B细胞迁移。在一项随机、对照、双盲、前瞻性临床试验中,给曾接受过拔牙治疗的9只猫口服环孢素,研究结果显示,在为期6周的研究期间,治疗组(7/9只猫,77.8%)和安慰剂组(1/7只猫,14.3%)在临床改善方面存在显著差异。同一研究中对11只猫进行了长期观察,结果显示,在接受环孢素治疗3个月或更长时间后,45.5%(五只猫)临床治愈。此外,血液中环孢素水平>300 ng/ml与难治性慢性口腔炎猫的口腔炎症显著改善相关。 在少数患者(n = 8)中,已经对牙齿拔除前使用环孢素进行治疗进行了评估,其中有50%的猫被报道为达到临床缓解。
本综述的作者建议不要进行免疫抑制治疗而不进行手术干预。
免疫调节
免疫调节通常仅用于难治性病例(即对手术无效的病例)。请注意,正如前面所提到的,将患者定义为难治性的时间是不同的。此外,在这种情况下,使用生物标志物有很大的潜力来缩短等待医疗治疗的时间并改善患者的生活质量。
在顽固病例中,重组猫干扰素ω(rFeIFN-ω)和间充质基质细胞(MSC)疗法显示出了希望。一项对照、随机、双盲研究发现,口腔黏膜给予rFeIFN-ω治疗的猫中,55%的病例临床治愈程度有中度改善,45%的病例临床治愈程度有显著改善。一项研究调查了皮下给予FCV阳性猫rFeIFN-ω治疗对FCGS的影响,发现通过抑制FCV增殖,可以改善口腔炎症。皮下给予rFeIFN-ω在自然感染FeLV或FeLV和FIV共感染的猫中也显示出临床疗效。此外,口服rFeIFN-ω已被证明是FIV感染猫的有效替代疗法。
在一项评估rFeIFN-ω对救助所中受逆转录病毒感染的猫的临床改善和减少病毒排泄的疗效的研究中,尾部口炎是常见的发现(16只猫中的6只),尤其是在FIV阳性的猫中。在这项研究中,FIV感染和FIV/FeLV共感染的猫在治疗过程中有所改善。有趣的是,所有对FCV呈阳性的FIV猫(7只中的4只)都有牙龈口炎;而在11只FCV阳性的猫中,有9只在rFeIFN-ω治疗后病毒载量减少。综上所述,这些研究证实了rFeIFN-ω治疗在FCGS和已确认的逆转录病毒(FIV/FeLV)或FCV感染患者中的作用。rFeIFN-ω已在欧洲获得批准使用,但目前尚未在美国获得批准。
自体和异体新鲜脂肪来源的间充质干细胞(MSCs)经静脉注射治疗难治性猫病毒性鼻炎(FCGS)的疗效已在加州大学戴维斯分校的作者团队最近发表的论文中进行了研究(请参阅“FCGS伴侣论文”亮点圈)。MSCs的免疫调节作用显示出治疗难治性FCGS的潜力,异体和自体治疗后,FCGS患者的临床改善或缓解率分别达到57%和71%。在一项试点研究中,治疗前使用MSCs未见效果。
关键要点
✜ 目前关于FCGS病因的证据表明,这是一种免疫介导的疾病过程,对慢性抗原刺激产生局部和全身的影响。
✜ 越来越多的科学支持表明,FCV在FCGS的发病机制中起着一定的作用,至少作为一种疾病调节因子。
✜ 所有患有 FCGS 的猫都受到不同程度的牙周炎影响。
✜ 手术治疗仍然是黄金标准疗法,对于炎症扩展至口腔前部的患者,需要拔除所有牙齿。对于炎症仅限于前磨牙和磨牙区域的患者,可以考虑部分(前磨牙和磨牙)牙齿拔除。
✜ 鉴于这种疾病的复杂性,并且在找到一种保留牙齿的治疗选择之前,建议采用个体化医学方法。目标应该是优化患者护理,为那些预测对手术治疗反应不佳的患者提供更及时的医疗治疗。
✜ 在进行拔牙手术之前,在术后的即刻阶段以及治疗难治性病例时,医疗管理的价值得到了认可。
图2 先天免疫是由抗原呈递细胞(APCs)在受损部位迅速而非特异性地启动的应答。适应性免疫在损伤发生后需要数天至数周的时间,具有高度特异性并能长期维持。适应性免疫也可以具有耐受性。为了激活淋巴细胞,APCs会前往包括扁桃体、唾液腺、淋巴滤泡和引流淋巴在内的诱导部位。效应部位包括上皮、固有层和唾液腺。活化和扩增的淋巴细胞会从效应部位迁移到诱导区域,以介导免疫应答。T细胞被认为在抗原再调用的快速应答中发挥帮助作用,提供保护性应答同时防止不良过敏反应。CD4+细胞的主要功能是直接或间接地调节其他免疫细胞。在健康状态下,淋巴细胞主要是记忆细胞群体。